Pop! founder swallows a computer that will store the entries
In looking for the latest in Internet of Things (IoT) devices, this report has come to VizWorld’s attention and is, from the best we can tell, most likely true. We are taking it at face value, and hoping that, while being very entertaining, is worth investigating by watching the video (you can check in at random), and posting your comments below.
Here’s the press release as it was sent to us, along with the video feed and a gallery of pictures below. –
PLEASE NOTE: THE COMPETITION IS ONLY OPEN TO AUSTRALIAN RESIDENTS – Dean Meyers
[youtube url=”http://youtu.be/C9g2X79A-MA” fs=”1″ hd=”1″ rel=”0″ showsearch=”0″ showinfo=”0″]
One crazy entrepreneur has taken the meaning of ‘passion’ for their startup to a whole new level, after Pop! CEO Chris Koch swallowed a small computer to demonstrate what his new app can do for the world.
Pop! makes mobile shopping and web forms simple by storing and protecting all your personal information on your mobile device (more information on Pop! below). It is launching a $A10,000 giveaway that will see the winning entry drawn from within Koch’s body.
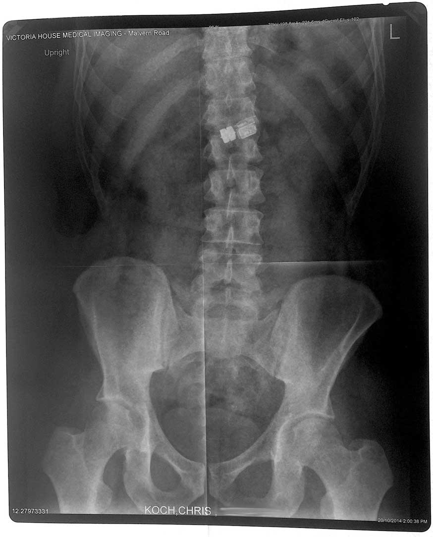
As part of the ‘Pop! The Boss’ competition, which started on Monday 20 October 2014 in Melbourne, Australia, Koch swallowed a large pill live on streaming video containing a computer chip. Every time someone enters the competition, their details will be sent to the computer chip inside of him via Bluetooth. Because of the battery life required to keep the computer running for 24 hours, the pill itself is quite large — about 3.5cm by 2cm — considerably larger than your average vitamin tablet.
Australians entering the competition have the chance to win $A10,000 cash, as well as other major prizes throughout the day.
A number of quite serious risks are involved in the stunt. Doctors have advised that the pill could get lodged at various stages along the journey, including in Koch’s trachea, oesophagus and intestines, which would require immediate surgery. Paramedics are on hand in case of an emergency.
Asked why he’s willing to do something so dangerous to launch Pop!, Koch said: “Pop! helps you take control of your personal data. We wanted to demonstrate to people that with Pop!, you can send your data to absolutely any location – even inside my digestive system – and keep track of it.
“It’s admittedly a pretty dangerous thing to do. My mum is terrified. But this company is really like my baby and I’ll do just about anything to effectively show the world what we can do for them.
“We hope Pop! can radically change the way consumers both shop and exchange their data online, and control their personal information. This stunt is something that I believe in because it can really demonstrate to people what our technology is capable of.”
Pop! is available to download now on Android and iOS. You can watch Koch as he goes 24 hours with a computer in his stomach here: www.letspop.com
- Chris shows us the device
- Comparison in size
- getting ready to swallow
- In the mouth…
- down it goes!
- The x-ray showing the device inside chris
- Features of POP!
Pop! is the best way to control your online data
Pop! is a new app that makes mobile shopping and web forms simple, by storing and protecting all your personal information on your mobile device.
For the first time, Pop! gives people:
- a seamless way to easily exchange their information with businesses online
- the ability to keep track of their global data footprint
- the power to keep their information up to date with the businesses they choose
Filling out web forms on your smartphone is tedious, so Pop! allows users to automatically populate any online form using data stored on their device.
“Think about when you take a holiday — you purchase a ticket, buy travel insurance, book hotels, cars, tours,” said Pop! CEO, Chris Koch. “There are so many forms and with each one you leave a massive data trail with countless companies.
“We really believe we can not only make this process easier, but help people manage their online profiles better. Pop! is the solution to quite a serious issue.”
The app is completely secure and PIN locked — consumers’ information is stored on their own personal device, and no data is sent to Pop! or third parties, other than the companies they are transacting with. Data can be quickly wiped remotely should a device ever be lost.
Koch and his business partner Chad Stephens have already had a successful startup, having created 1Form which sold to the REA Group for $15 million earlier this year. They are using their learnings from that venture to create Pop!.
[…] Pop! founder swallows a computer that will store the entries Pop! CEO Chris Koch about to swallow a tracking device. In looking for the latest in Internet of Things (IoT) devices, this report has come to VizWorld's attention and is, from the best we can tell, most likely true. We are taking it at face value, and hoping that, while being very entertaining, is worth investigating by watching the video (you can check in at random), and posting your comments below. Here's the press release as it wa […]